Способ имплантации «All-on-4» и «All-on-6» стали одними из самых обсуждаемых в современной стоматологии. Пациентам обещают восстановление зубов за несколько дней и отказ от сложной костной пластики. Однако за эффектной подачей скрывается сложный протокол лечения с чёткими показаниями и ограничениями.
Как отмечает врач-стоматолог-ортопед, заместитель главного врача, Центра имплантацим зубов «Атлант» Феликс Карэнович Петросов, способ действительно может быть эффективным решением, но только при понимании всех нюансов и клинической картины.

Имплантация «Все на 4» и «Все на 6»: революция в стоматологии или удачный маркетинг
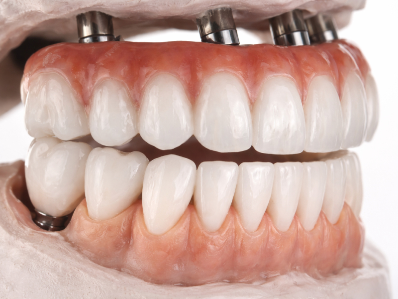
Процедура предполагает фиксацию несъёмного мостовидного протеза на четырёх или шести имплантах. Два устанавливаются вертикально во фронтальном отделе, ещё два — под углом в боковых участках. Это позволяет обойти некоторые анатомические ограничения (например, гайморовы пазухи на верхней челюсти) и задействовать участки кости с лучшей плотностью, избегая сложной пластики.
Популярность технологии объясняется сочетанием клинических возможностей и активного маркетингового продвижения. Однако распространённые рекламные обещания требуют уточнений.
- «Быстро». Важно понимать, что речь идёт не о «простом» лечении. Даже если временный протез устанавливается быстро, подготовка и цифровое планирование занимают значительное время.
- «Без костной пластики». Наклонные импланты не являются универсальной альтернативой костной пластике. При выраженной атрофии костной ткани метод может оказаться неприменим.
- «Новые зубы навсегда». Конструкция требует регулярного обслуживания и контроля на протяжении всего срока эксплуатации.

Когда выбор протокола действительно оправдан
По словам Петросова Феликса Карэновича, протоколы Все-на-4 и Все-на-6 прежде всего предназначены для пациентов с полной или почти полной потерей зубов.
Ключевым условием остаётся достаточный объём костной ткани в переднем отделе челюсти, который обеспечивает стабильность имплантов. Также важно общее состояние здоровья пациента и готовность соблюдать рекомендации по уходу за конструкцией и ежегодному обслуживанию.
При этом специалисты всегда предупреждают о возможных осложнениях — как биологических, включая воспалительные процессы вокруг имплантов, так и технических, например ослаблении креплений или повреждении протеза.
Подводные камни, о которых редко говорят заранее
Долгосрочные риски. Одним из наиболее серьёзных рисков остаётся потеря одного из имплантов. Конструкция распределяет нагрузку между всеми опорами, поэтому выход из строя одного элемента может повлиять на всю систему и потребовать повторного лечения.
Сложность обслуживания. Кроме того, такие конструкции требуют специальной гигиены. Без ирригаторов, специальных щёток и регулярных визитов к врачу поддерживать чистоту под протезом невозможно. Контрольные осмотры обычно проводятся не реже одного раза в полгода.
«Несъёмные» не значит «как свои». Важно понимать и ещё одну особенность: несмотря на несъёмность конструкции, она остаётся мостовидным протезом. Со временем под ней может изменяться уровень костной ткани, что требует наблюдения специалиста.
Недопустимый протокол при атрофии. Особую осторожность необходимо проявлять при выраженной атрофии верхней челюсти. В таких ситуациях могут потребоваться альтернативные методы имплантации.

Что важно учесть перед принятием решения об имплантации
Перед началом лечения необходимо получить полный план имплантации с указанием этапов, сроков и итоговой стоимости. В него должны входить диагностика, хирургический этап, временные конструкции, изготовление постоянного протеза и последующее наблюдение.
Также важно учитывать, что временный протез устанавливается на период приживления имплантов и спустя несколько месяцев заменяется постоянным. Этот этап существенно влияет на итоговую стоимость лечения.
Отдельную роль играет уход за конструкцией. Регулярная профессиональная гигиена и контроль состояния имплантов напрямую влияют на срок службы протеза.
Петросов Феликс Карэнович убеждён, что протоколы Все-на-4 и Все-на-6 нельзя рассматривать как универсальное решение.
«Выбор протокола имплантации всегда определяется клинической ситуацией пациента. Быстрое восстановление возможно не во всех случаях и не должно становиться главным критерием выбора», — подчёркивает Феликс Карэнович.
Поэтому оптимальный план лечения формируется только после комплексной диагностики, включая компьютерную томографию и анализ биомеханики челюстной системы. Именно такой подход позволяет получить предсказуемый результат на долгие годы.
«Атлант»
Центр имплантации зубов — стоматология доктора Кривошеева
Адрес: Калининград, ул. Гражданская, 5а
Телефон: (4012) 988-233
Сайт: kcdi.ru

Имеются противопоказания, необходима предварительная консультация специалиста
ЛО 39-01-002180 от 25 сентября 2019 г.
Реклама. ООО «ЦЕНТР ДЕНТАЛЬНОЙ ИМПЛАНТОЛОГИИ «АТЛАНТ», ИНН 3906990673
